TOP

岡山大学学術研究院医歯薬学域 放射線医学/岡山大学 放射線科

放射線治療 Radiation Therapy

ホーム 診療について 放射線治療 肺がんや肝がんに対する定位放射線治療

肺がんや肝がんに対する定位放射線治療

CTを併設しているリニアックを用いて肺がんに対する定位放射線治療を行っています。定位放射線治療は通常の放射線治療とは異なり、1日1回、計4回、もしくは8回と短期間で行うことが可能です。3~4cm程度までの転移のない原発性肺がんが対象となります。

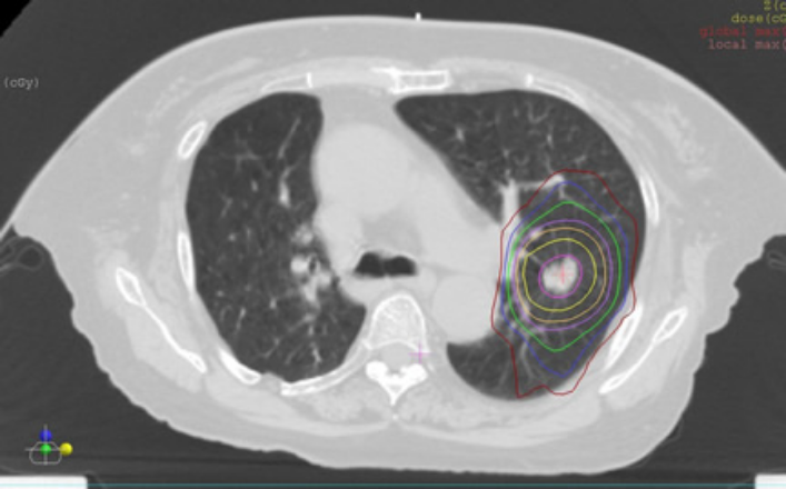
定位放射線治療はピンポイント治療と言われています。図1は定位放射線治療の線量分布図という設計図面で、放射線はがんに集中してあたっているのがわかります。がんのみに集中してピンポイントに大線量の放射線治療を行うことで治療効果が高く副作用の少ない治療を行うことができます。定位放射線治療を行った部分は、原発性肺がんで8割程度の確率で制御できます。標準的治療は外科手術ですが、何らかの理由で行えない患者さんにとってはよい治療方法と考えています。医師からのお話後、準備で2~3週間、治療は1日1回、1時間程度で、4~10日間で終了致します。照射中に痛みなど感じることはなく、両手を上げて動かずに仰向けに寝ていただているのみで治療可能です。この治療は、原発性肺がんのみでなく、転移性肺がんの治療も可能です。

図1

図1

原発性、転移性の肺がんでは治療後、新たに肺病変が出現してくることがあります。呼吸機能等により左右されますが当院では過去の治療分も含め合計で1~3箇所程度としています。状況により、陽子線治療やラジオ波治療など他の治療法を提案させていただくことがあります。また間質性肺炎という病気や縦隔という場所に近いなど他の病気やがんの位置によって不可能な場合もございます。

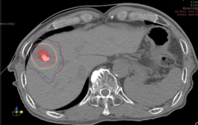
原発性肝がんについてもこの定位放射線治療を行なっております。肺への治療と同様に、図2のように病変に放射線を集中して治療していきます。肺がんにおける位置づけと同様に、外科的治療やラジオ波治療など標準的な治療が難しい場合にこの治療を行うことがあります。可能であれば血管内治療を先行して受けて頂いています。転移性肝がんに対しても可能で、大きさは3cmぐらいまで、当院では過去の治療分も含め合計で1~2回程度までとなります。肝臓の機能が低い、がんが胃腸に近接等の場合は不可能な場合があります。また、患者さんが希望なさいましても他の治療を提案させていただくこともあります。

図2

図2