TOP

岡山大学学術研究院医歯薬学域 放射線医学/岡山大学 放射線科

IVR Interventional Radiology

ホーム 診療について IVR 腎がん、骨軟部腫瘍に対する凍結療法

腎がん、骨軟部腫瘍に対する凍結療法

この治療は画像を見ながら腫瘍に凍結用の針を刺して腫瘍を凍結、壊死させる最先端の治療法です。約270気圧のアルゴンガスを用いて腫瘍を−40度以下の温度にします。治療に伴う痛みが少なく、非常に身体に優しい治療です。CTガイドによる高度な穿刺技術を生かして治療を行っています。

腎がん、骨軟部腫瘍に対する凍結療法1
腎がん、骨軟部腫瘍に対する凍結療法2

治療範囲が画像で見えるのが特徴です。

腎がんに対する凍結治療

2011年6月の診療報酬改定に伴い、「小径腎がんに対する凍結療法」が保険適応となりました。当科におきましても凍結治療装置を導入し、2012年4月より凍結療法を行っています。

治療内容

患者様にはCTを撮影する台の上に横になっていただき撮影します。画像で腫瘍を確認して治療計画に従って凍結用の針を刺していきます。必要に応じて複数の針を用います。治療時間は腫瘍の大きさなどにより様々ですが、通常2~3時間程度で終わります。

治療中の痛み

凍結用の針を刺すときの痛みに対して局所麻酔で痛み止めをしますが、凍結治療そのものは通常ほとんど痛みを感じません。

入院期間

治療後は軽度の発熱や血尿を生じることがありますが、凍結治療後3~4日で退院できることが多いです。

費用

腎がんに対する凍結治療は保険適応となっています。

治療成績

当院では2012年に治療を開始して以来250人以上の患者様に治療を行ってきました。再発はほとんどなく、再発しても再治療で腫瘍は根治できることがほとんどです。腎機能にも優しく、腎機能の悪い患者様でも治療が可能です。

症例

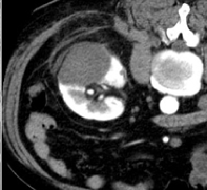
治療前

治療前

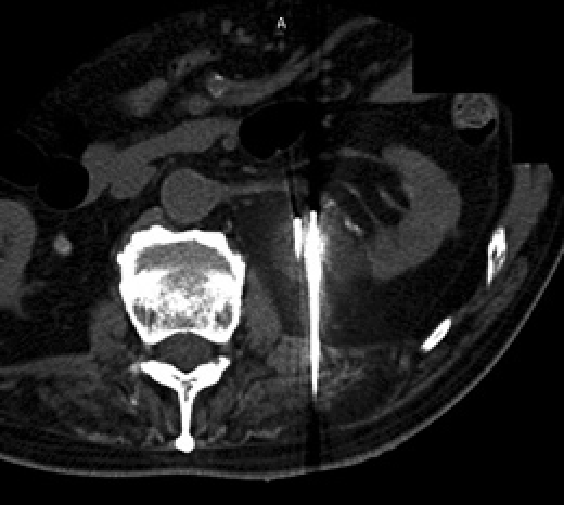
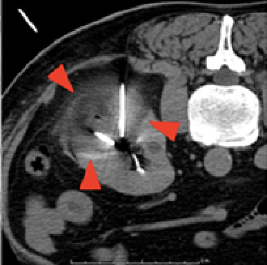
治療中

治療中

治療後

治療後

右腎臓の摘出後の患者さんで、左腎臓にがんができています。治療中では腫瘍が黒い部分で覆われており(赤い印で囲まれた範囲)、氷ができているのがわかります。治療後では腫瘍が壊死しているのがわかります。

骨軟部腫瘍に対する凍結治療

まだ健康保険適応となっていませんが、倫理委員会の承認を得て治療を行っています。がんの骨転移や骨軟部の再発腫瘍が対象です。

入院期間

通常治療後1週間ほどで退院できます。

費用

全額自己負担でお願いしています。治療に用いる針の本数で異なりますが通常約80~90万円程度かかります。

症例

治療前

治療前

治療中

治療中

治療後

治療後

肺がんの胸壁再発の患者さんで、治療後にPETの赤い色が消失しています。痛みもなくなりました。