TOP

岡山大学学術研究院医歯薬学域 放射線医学/岡山大学 放射線科

IVR Interventional Radiology

ホーム 診療について IVR ラジオ波による肝、肺、腎、骨軟部悪性腫瘍の治療

ラジオ波による肝、肺、腎、骨軟部悪性腫瘍の治療

ラジオ波治療は、近年、肝がん、腎がん、肺がん、骨軟部腫瘍など多種多様の腫瘍の治療に広く用いられています。この治療は、CTや超音波などの画像を見ながら、腫瘍に鉛筆の芯くらいの太さの針を刺入し、ラジオ波電流で腫瘍を加熱して死滅させるものです。特に肝がんにおいては既に広く行われており、手術と遜色のない成績が報告されています。また、治療は針を刺して行いますので、開腹や開胸を伴う手術と比べて、患者さんの体への負担はかなり少なく、手術が困難な患者様にも施行出来ることも大きな利点の1つです。治療は何回でも繰り返し行うことができ、もし再発した場合にも再治療が可能です。更に、抗がん剤や放射線治療など他の治療と組み合わせて治療を行うこともできます。

写真の解説:我々は最先端の技術が搭載されたIVR-CTを駆使し、モニター上に映し出されるCT画像を見ながら極めて正確に腫瘍にラジオ波治療用の針を穿刺することができます。

私たちは、この治療の有用性に注目し、肝がん以外に、2001年より肺がん、腎がん、骨軟部腫瘍に対して、病院内の倫理委員会の承認を得た上で、呼吸器外科、泌尿器科、整形外科、麻酔科などと協力しながらラジオ波治療を行ってきました。現在は、肝がんのみが健康保険で認められており、他の部位については、保険診療が認められておりません。しかし、肺がんと腎がんにおいては既に臨床使用確認試験が終了し、保険適応に向けて前進しています。

肺がんに対するラジオ波治療

2001年6月に第1症例目を経験し、2017年10月までに原発性肺がんや大腸がん、肝細胞がん、腎がん、肉腫などからの転移性肺がんなど、約600名の患者様で、のべ約1700個の肺腫瘍に対してラジオ波治療を施行しました。その成績は世界的な科学誌に論文として多数掲載されています。

治療内容

患者様にはまずCT台の上に仰向けもしくはうつぶせで寝ていただきます。IVR-CT装置を駆使し、CT画像を観察しながら電極針を病変に刺入します。その後、腫瘍を加熱して死滅させます。治療時間は、病変の数や大きさにより様々ではありますが、1~2時間程度で終わることが多いです。

治療中の痛み

治療は、麻酔の他、麻薬の点滴による強い鎮痛を施し、痛みは軽度であることがほとんどです、麻酔は通常、局所麻酔を使用しますが、強い疼痛が予想される場合や患者様が希望した場合は、硬膜外麻酔を使用します。

費用

現在のところ肺がんに対するラジオ波治療は保険収載されていないため、全額自費となります。患者様に窓口で払っていただく費用は平均で約40万円ほどです。
注:費用は入院期間や部屋の種類、入院中の処置などによりかなりばらつきがあることはあらかじめご了承ください。

治療後の経過

治療後は軽度の気胸や軽度の発熱が生じることが多いですが、治療後3~4日で退院できることが多いです。手術と違い傷跡は残りませんし、痛みもほとんどの場合ありません。退院後は、定期的にCTや採血にて治療の評価を行います。必要に応じてPETや呼吸機能検査も行います。

治療成績

治療成績は主として腫瘍の大きさによります。 2cm未満の腫瘍では完全に治療出来る確率は80%を超えますが、2cm以上の大きさでは50%弱となります。なお、腫瘍の種類によって治療成績は違わず、どのような種類の腫瘍でも同じような成績で治療可能です。

治療の限界

ラジオ波治療で満足な結果が得られないことが以下の場合あります。

  1. 治療成績で述べましたように腫瘍が大きい場合は、完全な腫瘍壊死が得られないことがあります。
  2. 腫瘍が太い血管や心臓に近いまたは接している場合は、これらを損傷し命に関わる合併症が生じる場合や、血流で腫瘍が冷やされて十分温度を上げることができず完全な腫瘍壊死が得られないことがあります。
  3. ラジオ波治療はあくまで治療した場所にしか効果がありません、このため肺以外の場所にも病変があったり、両側の肺にたくさんの病変があり完全にすべての病変を治療できない場合はラジオ波治療の適応から外れてしまうことがあります。

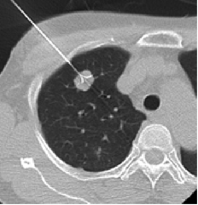
症例1

右原発性肺がんの症例ですが、ラジオ波治療を行うと、約半年後には腫瘍は死滅し瘢痕状となっています。

治療前

治療前

治療中

治療中

治療後

治療後

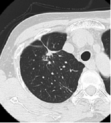
症例2

治療前のPETで黒くみられる両肺に多発する転移性肺がんの多くは、計3回のラジオ波治療後のPETで消失しています。このようにラジオ波治療は繰り返して行うことができ、多発する病変の治療も可能です。

治療前

治療前

治療中

治療中

腎がんに対するラジオ波治療

腎がんにおいても、我々は泌尿器科と協力し、2002年5月1日に日本で第1例目となるラジオ波治療を施行しました。2012年3月までに80名以上の患者様に治療を行っています。成績は極めて良好であり、腎機能への影響もほとんどありません。また、繰り返し治療を行うことも可能で、単腎(腎臓が1つしかない)の患者様やフォンヒッペルリンドウ(VHL)病など腎がんが多発する患者様にもとても有効な治療法です。

治療内容

患者様にはまずCT台の上に仰向けもしくはうつぶせで寝ていただきます。治療最先端技術が網羅されたIVR-CT装置を駆使し、CT画像を観察しながら電極針を病変に刺入します。その後、腫瘍の焼灼を行います。治療時間は、治療する病変数や大きさにより様々ではありますが、1時間~2時間程度で終わることがほとんどです。
なお、腫瘍が大きい場合はラジオ波治療の効果を高めるために、前もって動脈塞栓術を行う場合があります。

治療中の痛み

治療は、麻酔の他、麻薬の点滴による強い鎮痛を施しますので、痛みは軽度であることがほとんどです、麻酔は通常、局所麻酔を使用しますが、強い疼痛が予想される場合や患者様が希望した場合は、硬膜外麻酔を使用します。

費用

現在のところ腎がんに対するラジオ波治療は、自費診療となります。費用は入院期間により様々ですが、平均で約40万円程度です。
注:費用は入院期間や部屋の種類、入院中の処置などによりかなりばらつきがあることはあらかじめご了承ください。

治療後の経過

治療後は軽度の発熱や血尿が生じることがありますが、治療後3~4日で退院できることが多いです。退院後は、定期的にCT、MRIや採血にて治療の評価を行います。

治療成績

治療成績は極めて良好で、97%の腫瘍が1~2回の治療で完全に死滅しています。腎機能への影響もごく軽度であり、術後、人工透析を導入された患者様や腎不全になった患者様はいません。

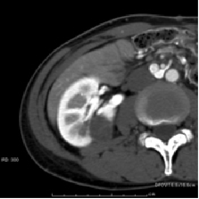
症例

腎がんが多発するフォンヒッペルリンドウ病の患者様で、左腎はすでに他院で摘出されており、右腎しかない単腎の症例。ラジオ波治療後に腫瘍は完全に死滅している。この患者様はこの後、もう一つ別にあった腎がんも同様に治療された。このようにラジオ波治療は腎機能を低下させず、繰り返して治療できることから、このような単腎の多発腎がんでも治療が可能である。

類骨骨腫に対するラジオ波治療

類骨骨腫は良性の骨腫瘍ですが、強い痛みを伴い、従来は手術で切除されていました。しかし、ラジオ波治療が非常に有効であり、我々は整形外科と協力し、積極的にラジオ波治療を行っています。2017年までに、約45名の患者様に治療を行っています。

治療内容

患者様にはまずCT台の上に仰向けもしくはうつぶせで寝ていただきます。治療最先端技術が網羅されたIVR-CT装置を駆使し、CT画像を観察しながらまずドリルで骨に穴を開けます。次に穴の中に電極針を進め、病変に刺入します。その後、腫瘍の焼灼を行います。治療時間は、治療する大きさにより様々ではありますが、2-3時間程度で終わることがほとんどです。

治療中の痛み

全身麻酔を用いて治療することが多く、治療中に痛みを感じることはほとんどありません。

費用

現在のところ類骨骨腫に対するラジオ波治療は、自費診療となります。費用は入院期間により様々ですが、平均で約50万円です。
注:費用は入院期間や部屋の種類、入院中の処置などによりかなりばらつきがあることはあらかじめご了承ください。

治療後の経過

治療後は軽度の発熱や治療の影響による痛みが生じることがありますが、治療後1~2日で退院できることがほとんどです。退院後は、外来で治療効果の評価を行います。

治療成績

治療成績は極めて良好で、ほとんどの患者様で痛みが消失あるいは著明に改善します。

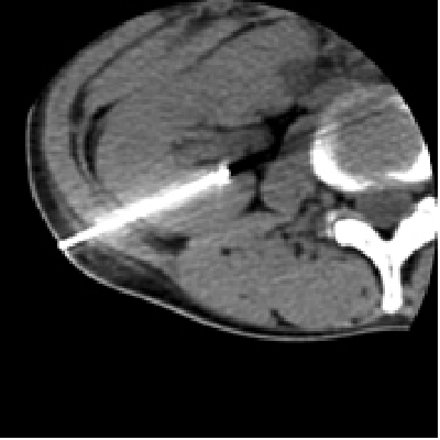
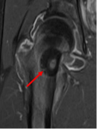
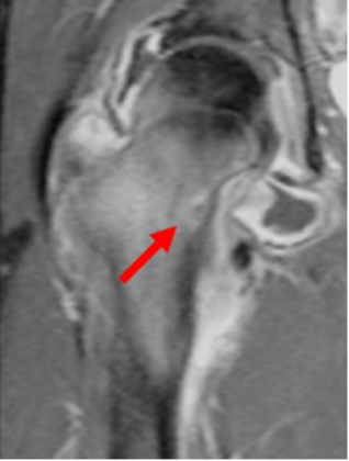
症例

右大腿骨に見られた類骨骨腫は、治療後には完全に死滅しています。治療前には強い痛みがありましたが、治療直後より完全に消失しました。このように類骨骨腫の症例では、治療後にほとんどの場合は劇的に痛みが改善します。

治療前

治療前

治療後

治療後

骨軟部腫瘍に対するCTガイド下ラジオ波治療類骨骨腫に対するラジオ波治療

欧米では良性骨腫瘍の疼痛除去に対する良好な成績や、転移性病変に対する症状緩和に有用であったとの報告があります。我々も様々ながんの骨転移に対してラジオ波治療を施行し、疼痛の緩和が得られた症例を経験し、QOLの改善に寄与しています。痛みに対する標準治療(薬物治療や放射線治療)ができないもしくは無効である症例に有用と考えています。